أخبار

فضل صلاة الضحى… عبادة مباركة تجلب البركة وتفتح أبواب الرزق

للرجال فقط.. أبرز أعراض سرطان البروستاتا التي لا ينبغي تجاهلها

لن تصدق ما سيحدث لجسمك إذا شربت عصير البرتقال لمدة شهرين؟

تعرف على المعتبر في كسوة كفارة اليمين

ماذا فعل ملك الموت مع الأنبياء أثناء قبض أرواحهم؟

كيف تحدث العقاد عن عبقرية النبي صلى الله عليه وسلم؟

لماذا لم يكلف الله الكافر بعبادته وقصر التكليف على المؤمن فقط؟ (الشعراوي يجيب)

الخديعة محرمة لأنها تستلزم الكذب.. هذه أهم صورها

"جبر الخواطر".. هذا ما أريده منك قبل أن أرحل فلا تتخل عني؟

إجابتك تحدد علاقتك بربك.. ماذا تفعل عند سماع الأذان وأنت تشاهد التليفزيون؟

5 علاجات منزلية لعلاج التسمم بالفلور في الأسنان.. تعرف عليها

بقلم | مها محي الدين | الاحد 26 ديسمبر 2021 - 11:01 م
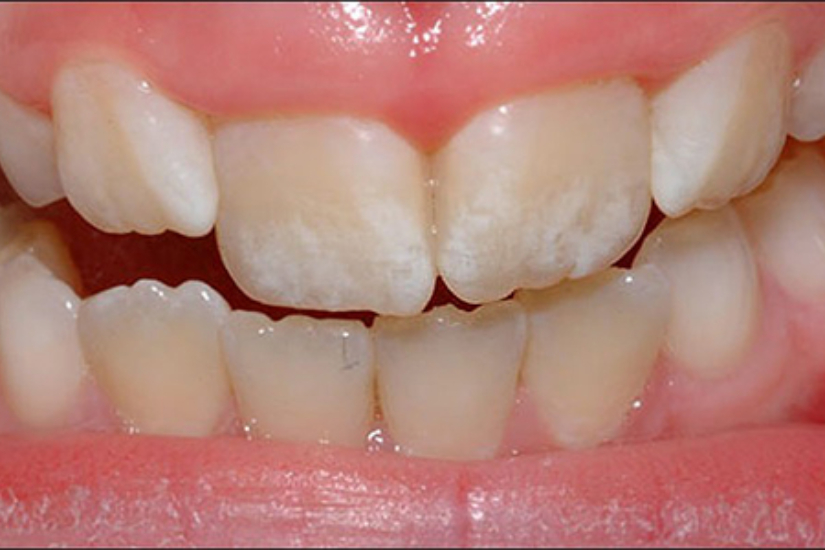
الابتسامة المشرقة والجميلة ليست فقط ميزة رائعة ولكنها أيضًا طريقة فعالة لتعزيز ثقتك بنفسك، ويمكن للبقع البيضاء، والبقع البنية، والبقع الغائمة، والتنقر، وما إلى ذلك من مشاكل الأسنان أن تسرق ابتسامتك المشرقة وتؤثر علي صحة أسنانك.
ويعتبر التسمم بالفلور في الأسنان أحد الأسباب الأكثر شيوعًا وراء مثل هذه المشكلات، ويتأثر الآن ما يقرب من ملايين الأمريكيين بهذه الحالة، لذا، كيف تعرف ما إذا كنت أنت أو طفلك تعاني منه؟، وما هي العلاجات المتاحة والعلاجات المنزلية لتسمم الأسنان بالفلور؟، وكيف تمنعه بنجاح؟، ستجد إجابة لكل هذه الأسئلة في السطور التالية، والتي نشرها موقع "هيلث لاين" بعد التشاور مع أطباء الأسنان.

التسمم بالفلور

التسمم بالفلور هو حالة تجميلية شائعة غير مؤلمة يتغير فيها مظهر مينا الأسنان جزئيًا أو كليًا بسبب التعرض المفرط للفلورايد، وهو ما يترك الأسنان مشوهة قليلاً أو ملطخة بشكل كبير (أصفر إلى بني غامق) بناءً على حدة الحالة.
وفي حالات التسمم بالفلور المعتدل إلى الشديد، تزداد مسامية مينا الأسنان أيضًا من خلال نقص المعادن، وقد يؤدي هذا إلى تآكل الأسنان أو انهيارها، وبالتالي تشويه ابتسامة الشخص إلى حد كبير.
ومع ذلك، فإن التسمم بالفلور ليس من أمراض الأسنان، وليس له تأثير سلبي كبير على صحة أسناننا، وبينما يمكن علاج التسمم بالفلور الخفيف إلى المتوسط من خلال مستحضرات التجميل أو باستخدام علاجات منزلية بسيطة، فإن الضرر الذي يلحق بمينا الأسنان يكون دائمًا.

اقرأ أيضا:

للرجال فقط.. أبرز أعراض سرطان البروستاتا التي لا ينبغي تجاهلها

مشروبات تحتوي على كافيين

إذا كنت تعاني من مشاكل مع بقع الأسنان، فابدأ بالتخلص من الشاي الأسود والقهوة والمشروبات الغازية الداكنة، ذلك لأن المحتويات العالية من الكافيين في هذه المنتجات يمكن أن تسبب تلون غير مرغوب فيه.
ويعتقد بعض الناس أنه إذا شربت هذه المشروبات من خلال ماصة، فلن تصاب بالفلور في الأسنان، لكن هذا ليس صحيحا؛ فلا يزال السائل يلامس أسنانك بمجرد دخوله الفم، مما يتسبب في تلطيخها، ويمكنك استبدال هذه المنتجات بسهولة بالشاي الأخضر والقهوة منزوعة الكافيين والمشروبات الغازية ذات الألوان الفاتحة.

المنتجات ذات المستويات المنخفضة من الفلوريد

تأكد من التوقف عن شرب الماء الذي يحتوي على نسبة عالية من الفلورايد، وبدلاً من ذلك، يمكنك اختيار المياه المعبأة في زجاجات أو الحصول على مرشح أو فلتر.
أيضًا، لا تشتري معجون أسنان يحتوي على الفلورايد، وبدلاً من ذلك، قم بشراء المنتجات الطبيعية أو تلك التي لا تحتوي علي فلورايد.

صودا الخبز

صودا الخبز لا تستخدم للخبز فقط؛ يمكن استخدامها لتبييض الأسنان أيضًا، ويمكنك شراء معجون أسنان يحتوي على صودا الخبز أو صنع معجون أسنان بنفسك.
وإذا قررت أن تصنعه بنفسك، امزج 1 ملعقة صغيرة من صودا الخبز مع 1 ملعقة صغيرة من معجون الأسنان بدون فلورايد وضعهم علي فرشاة أسنانك كما تفعل عادة.
وهناك طريقة أخرى لاستخدام صودا الخبز لهذا الغرض وهي صب ملعقة كبيرة من عصير الليمون في ملعقة كبيرة من صودا الخبز واستخدام هذا المعجون لتنظيف الأسنان، استمر في الروتين حتى تتحقق النتيجة المرجوة.

بيروكسيد الهيدروجين (3٪)

يمكنك إضافة ملعقتين صغيرتين من بيروكسيد الهيدروجين (3٪) و 2 ملاعق صغيرة من الماء في كوب وخلطهما جيدًا، استخدمهم لمضمضة فمك لمدة لا تزيد عن دقيقة واحدة، وبمجرد أن يصبح رغويًا بدرجة كافية، ابصقه واشطف الفم جيدًا بالماء العادي، وكرر هذه العملية يوميًا حتى تري النتائج، لكن تأكد من أن قوة البيروكسيد هي 3٪ فقط، وهي نسبة آمنة في حالة الاستهلاك العرضي.

الأطعمة الغنية بفيتامين سي

بعض الفواكه والخضروات مفيدة لأسنانك، خاصةً عندما تكون لديك أعراض التسمم بالفلور، وبعض الخيارات الأكثر شيوعًا هي الجزر والكرفس والتفاح، وهي أطعمة غنية بفيتامين سي الذي يقتل البكتيريا ويساعد على إزالة البلاك في نفس الوقت عن طريق إفراز المزيد من اللعاب.
كما يجب أيضًا تجنب كل المنتجات الحمضية مثل صلصة الطماطم والمخللات والخل البلسمي والبرتقال، وحتى صلصة الصويا ثبت أنها تغير لون الأسنان.

اقرأ أيضا:

لن تصدق ما سيحدث لجسمك إذا شربت عصير البرتقال لمدة شهرين؟

اقرأ أيضا:

فوائد مذهلة للزغفران: يكافح الاكتئاب ويعزز الصحة الجنسية

الكلمات المفتاحية

صحتك تهمنا الصحة العامة الأسنان آلام الأسنان التسمم بالفلور في الأسنان علاجات منزلية لعلاج التسمم بالفلور في الأسنان علاج التسمم بالفلور في الأسنان التسمم بالفلور مشروبات تحتوي على كافيين المنتجات ذات المستويات المنخفضة من الفلوريد صودا الخبز بيروكسيد الهيدروجين الأطعمة الغنية بفيتامين سي

موضوعات ذات صلة

amrkhaled

amrkhaled الابتسامة المشرقة والجميلة ليست فقط ميزة رائعة ولكنها أيضًا طريقة فعالة لتعزيز ثقتك بنفسك، ويمكن للبقع البيضاء، والبقع البنية، والبقع الغائمة