عمرو خالد: لو فقدت شغفك وطاقتك في الحياة.. سورة الكهف لإعادة الحيوية والفاعلية
فوائد صحية ونفسية للصيام بدون هاتف.. تعرف على التفاصيل
لصيام صحي.. كيف تتناول طعامك في رمضان؟
قيام الليل فرصتك في رمضان لتكون من المقبولين.. تعرف على فضائله
رمضان شهر الخير.. هذه القصة تدلك على أعظم أبوابه التي نحتقرها
منح ربانية. لماذا تضاعف الأعمال في رمضان؟
أهم ما يعمر البيوت في رمضان.. عادات تزيد البركة في شهر الصيام
6 بشارات لأهل المساجد في رمضان ولا عزاء لأهل المسلسلات
هل يجوز تمني الموت في رمضان؟
د. محمود عبد العزيز: رمضان فرصتك للفوز بالجنة.. حافظ عليها بهذه الطريقة
نصائح لمريض السكري في رمضان.. متى يضطر للإفطار؟
الإفراط في السكريات خلال شهر رمضان.. احذر مخاطره على صحتك
15 طريقة تساعدك على التخلص من العادات السيئة في رمضان
8 نصائح للعناية بصحتك النفسية خلال شهر رمضان
6 علاجات للتخلص من "عين السمكة" بشكل طبيعي.. تعرف عليها
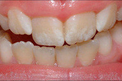
5 علاجات منزلية لعلاج التسمم بالفلور في الأسنان.. تعرف عليها
الصحة العالمية تشدد على أهم عامل للوقاية من الإصابة بالمتحور أوميكرون
لمواجهة برودة الشتاء .. 5فوائد تجنيها من إضافة الزنجبيل والقرفة للحليب .. تسريع التمثيل الغذائي والحد من انسداد الشرايين أبرزها
على عكس الشائع.. زيت الزيتون يضر بالبشرة
لمن يعاني النسيان.. سبع نصائح ذهبية لتقوية الذاكرة
بعد الوصول إلى سن الأربعين.. 4علامات تفرض عليك الذهاب إلى الطبيب
8 أطعمة يجب أن يتناولها كل مريض بالسكري (تعرف على فوائدها الصحية)
عالم روسي : هذه هي الفترة المثلى لإعادة التطعيم للوقاية من "أوميكرون"..ورسالة مطمئنة من الصحة الخليجية
5أعراض خطيرة لتشير لاحتمال إصابتك بالسكتة الدماغية .. و4نصائح بسيطة تجنبك هذا المرض القاتل
أعراض السمنة تظهر منذ الصغر.. كيف تتفادى خطرها على أبنائك؟
كيف تكتشف جرثومة المعدة وماهي طرق علاجها؟
"التأمل" يعزز نشاط الجينات التي تنظم الاستجابة المناعية.. وهذه فوائده لمرضى كورونا
دراستان: متحور "أوميكرون" أقل خطرًا من سلالة "دلتا"
6 علاجات منزلية بسيطة لعلاج عسر الهضم.. تعرف عليها
نوعان من التوابل يقللوا من خطر الإصابة بمرض الزهايمر.. تعرف عليهم
رغم تصاعد مخاطر متحور أوميكرون .. فيروس كورونا علي وشك الانتهاء .. تفاصيل بشري زفتها جامعة أمريكية
دراسة: بلاستيك في براز مرضى التهاب الأمعاء.. والسبب مياه الشرب والوجبات السريعة
علاج ثوري يقلل خطر الوفاة بين مرضى سرطان البروستاتا
5 أغذية غنية بفيتامين د لتعزيز المناعة وعلاج ضعف العظام.. تعرف عليها
دراسة صادمة تكشف.. مرضى كورونا قد يصابوا بمشاكل متعلقة بالدماغ
الأكثر قراءة
10أضرار لتناول شاي "البابونج".. الأخيرة خطير جدًا
أفضل طريقة لمعالجة ضعف الانتصاب عند الرجال
إذا كنت تلاحظ اصفرار البول.. عليك بهذا الأمر
أسهل طريقة لعلاج البواسير
كهرباء زائدة وشعور بتنميل في الأطراف..؟ الأسباب وطرق العلاج
البيض المقلي مقابل البيض المسلوق.. أيهما أكثر صحة؟.. تعرف علي الإجابة
إذا كنت تشعر بالإعياء وفقد التوازن جرثومة المعدة.. إليك الحل
مشروب بسيط لتنظيف الرئتين من سموم السجائر
amrkhaled [email protected] , Cairo Cairo Egypt